LEUKEMIA

MORFOLOGI

PERWARNAAN

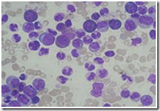
M1image

· Mieloblast

· 90%bukan erithroid.

Perwarnaan sudan black B

M2image

Myeloblastik Leukimia With Maturation.

*Myeloblast

*30-80% bukan erithroid.

* t(8:21)

perwarna Sudan black B

M3image

Promyelocytic Leukimia.

§ Promyeloctye hipergranular.

§ Auers rod

§ t(15:17)

Sudan black B

M4image

· Myelomonocytic Leukimia.

§ >30% bernukleus adalah Blast.

§ Sel muda dan matang menpunyai ciri -ciri myeloid dan Monocytic.

§ Auers rod

Perwarna Chloroacetate esterase (Blue)

M5image

· Monocytic Leukimia.

§ Monoblast , Promonocyte@ monocyte.

§ t(9:11)

Perwarna Chloroacetate esterase (Blue)

M6image

· Erythroleukimia.

§ 50% atau lebih sel yang bernukleus adalah erithroid

§ 30% adalah sel Blast.

Perwarna Periodic asid Schiff’s Reaction (PAS).

M7image

· Megakaryoblastic Leukimia.

§ 30% atau lebih daripada Megakaryocyte.

Perwarna Alpha- Napthol Esterase.

B) Leukimia LImfoblastik Akut.

image

· Sel Kecil.(biasa)

§ Limfoblast kecil.

§ Sitoplasma sedikit.

§ Kromatin sekata dan Homogenenous.

§ Nucleoli kurang jelas.

Perwarna Periodic asid Schiff’s Reaction (PAS).

image

· Sel lebih besar.

§ Sel besar.

§ Nucleus tidak sekata.

§ Kromatik kasar dan berkelompak.

§ Nucleoli jelas

§ Sitoplasma banyak

Perwarna Periodic asid Schiff’s Reaction (PAS).

image

· Jarang ditemui.

§ Sel yang besar

§ Kromatik yang halus dan homogenous.

§ Nucleoli yang jelas

§ Sitoplasma banyak (biru gelap).

§ Banyak lompang (Vakuol)

§ t(8:14)

Perwarna Periodic asid Schiff’s Reaction (PAS).

2 ) Leukimia Kronik.

image

· Leukimia Mieloid Kronik.

§ Banyak sel myeloid

§ Sel blas <30%.

§ Trombositopenia.

§ t(9:22)

Perwarnaan Periodic Asid Schiff’ Reaction.

image

· Leukimia Limfositik kronik.

§ 25-95% Limfosit kecil % matang.

§ trombositopenia.

Perwarnaan Dyes

image

· Leukimia Miemonositik Kronik.

§ MOnositosis >1X109/L

§ MIeloid

§ Sel blast <5%.

.

Perwarna Alpha- Napthol Esterase

image

· Leukimia Prolimfositik Kronik.

§ 15-25um.

§ WBC >100.000/mm3

§

Perwarnaan Sitokimia